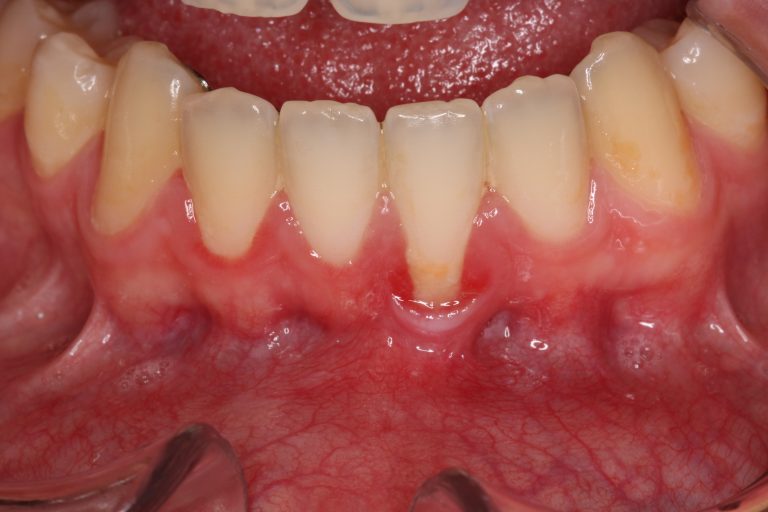
Les greffes réparatrices de gencives. La greffe de gencive est aussi appelée greffe de tissus mous. Elle a pour objectif de réparer la gencive qui présente un déchaussement (récession gingivale). La greffe consiste en l’augmentation d’épaisseur des tissus. Cela permet d’obtenir la stabilité du niveau de la gencive autour de la.. Définition. La greffe de gencive est un acte de parodontologie chirurgicale permettant de greffer du tissu gingival dans le cas d’une rétractation de la gencive (récession de la gencive). Cette greffe a pour pu de corriger le déchaussement des dents, de préserver leurs racines de l’érosion et des caries et de limiter l.
greffe de gencive avant bridge ou implant par tunnelisation YouTube
La greffe de gencive traiter à la base le déchaussement dentaire
Greffe de gencive qu’est ce que c’est, quelle est la procédure
GREFFE DE GENCIVE 😷 Mon expérience YouTube
greffe de gencive Soins dentaires
Quelle technique de prélèvement pour améliorer la greffe de cheveux ? Blog santé bien être
Greffe de gencive qu’est ce que c’est, quelle est la procédure
Greffe de gencive esthétique à Besançon Dr. Valentin Loriod
Greffe de gencive Dr Benjamin Attuil ChirurgienDentiste Paris 11
Greffe de gencive Portail Dentaire Trouvez votre dentiste
Prix d’une greffe de gencive en Hongrie MeilleureClinique
Greffe de gencive Paro Esthétique Dentaire Nantes
La greffe de gencive explications et cas cliniques Parodysseum (2023)
Greffe de gencive esthétique à Besançon Dr. Valentin Loriod
GREFFES DE GENCIVES A VISEE ESTHETIQUE DENTAIRE DR.LEDIEU
Greffe de gencive et gingivale Parodontie SaintLaurent Ecladent
Greffe de gencive SCP Nadal Chirurgiens Dentistes
Greffe de gencive qu’est ce que c’est, quelle est la procédure
Greffe gingivale Paris 16 au dentaire 9 Passy Dentiste Paris 16
Mon traitement préorthodontique I Orthodontie Parodysseum
La greffe de gencive libre : cette technique a pour avantage de permettre un gain considérable au niveau de l’épaisseur de la gencive.. On pourra alors envisager une nouvelle greffe 3 à 6 mois après. Il n’y a pas de contre-indications, le palais se régénérant très vite”, conclut-il. Il faut savoir que le recouvrement total n’est pas.. Une greffe de gencive est recommandé pour stabiliser ou améliorer le déchaussement des dents (la récession gingivale). Cette dernière est causée par différents facteurs tels un biotype gingival mince, un mauvais brossage ou un brossage trop fort, le déplacement des dents en orthodontie, des forces occlusales excessives ou la position.


