La mayoría de los felinos, incluyendo los domésticos, tienen 19 pares de cromosomas para un total de 38. Algunos tipos de gatos en América del Sur, sin embargo, sólo tienen 36 cromosomas.. El gameto masculino del gato (espermatozoide) contiene 19 cromosomas y el gameto femenino de la gata otros 19 cromosomas. Cuando se produce la unión de ambas células sexuales se formará un gatito de 38 cromosomas. En la cadena de cromosomas el último par es el que determina el sexo del gato. Si está compuesto por un cromosoma XY será.
Deleción de cromosomas fotografías e imágenes de alta resolución Alamy
Las 12 partes de los cromosomas (características y funciones)
Inmunogenética TÉRMINOS GENÉTICOS Y NOMENCLATURA
SISTEMA INMUNOLÓGICO Y MITOSIS
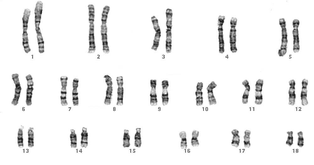
Biologia Contemporanea ♥ En el cariotipo los cromosomas se ordenan por tamaño y posicion del
Las 12 partes de los cromosomas (características y funciones)
Genes y cromosomas Fundamentos Manual MSD versión para público general
Cromosomas y Regulacin de la expresin gnica Por
En la anterior tabla, se muestra el número de cromosomas en un momento determinado para
Información del cromosoma del gato 💫 Portal Multimedia Científica Y Popular. 2024
Pin on Bloque 7
Cienciando ADN y cromosomas T.5 E.1
Los cromosomas de las tortugas tropicales Kinosternon leucostomum, Trachemys scripta y
Agregar 82+ cariotipo dibujo mejor camera.edu.vn
Bloglogía y Geología Cariotipos de otras especies
Deleción de cromosomas fotografías e imágenes de alta resolución Alamy
GonzálezEliecerCMC Los cromosomas
cuantos cromosomas tien un conejo Brainly.lat
¿Cuántos cromosomas tiene un gato? Cromosomas de los gatos
cromosomas
Conoce el número de cromosomas que tienen los felinos. Buscar. Calculadoras de embarazo. Categoría: Genética felina: colores, patrones y mutaciones. Cromosomas de los gatos. Especial atención a los cromosomas sexuales. En este artículo relacionado con genética felina hablamos de los cromosomas de los gatos. Como sabemos, un futuro gatito se origina mediante la fusión del óvulo proveniente de la madre con un espermatozoide.


